2013年1月30日 星期三

Canon NY-EOS 6D デジタルカメラシステム Digital Cameras Microscopy 顯微鏡攝影鏡組




隨著數位單眼相機的價格的降低,在顯微鏡攝影中逐漸使用數位單眼相機已漸漸成為趨勢。隨之而生了許多生產顯微鏡和數位相機“接口”的廠家和公司。這裡我之所以說是“接口”,其實就是一個空筒或顯微鏡專用鏡頭在加上相機卡口。
能用嗎?答案是能用。就像用顯微鏡專用相機一樣,不需搭配鏡頭接個 1X 的 C-MUNT 也可使用。單眼相機接空筒也是同樣道理。但結果是相反的。顯微鏡專用相機所觀察的影像,往往小於目鏡所看到的影像,而單眼相機是影像面積大於觀察面積了,原因是單眼相機的COMS面積大於視場觀察面積。

這樣會造成什麼結果呢:
1,空筒的光線透光率低,損耗量大。使得攝影區域的亮度明顯低於觀察區域,在拍攝低感光照片時無法正常拍攝(如螢光拍攝)。
2,由於採用了空筒,相機拍攝的畫面完全取決於顯微鏡攝影通道的通光口徑。使得攝影口的口徑大於目鏡,這樣勢必會拍攝到目鏡視場以外的圖像,造成攝影畫面超出目鏡觀察面積並在低倍採集時(4X,10X顯微鏡物鏡)出現黑邊或暗角。
根據我們從事顯微鏡生產製造多年的經驗,建議大家在使用單眼數位相機時,盡量採用和相機成像面匹配的鏡頭,這樣能取得適合的照片。
當然,這個“數位相機攝影鏡頭”也是有要求的。除了要成像清晰,消色差、消相差這些最基本的要求外,是否和相機的COMS匹配也是一個不可少的條件。
APS-C、APS-H、FS的差別在哪?感光元件大小跟倍率有什麼關聯?現在由於成本與製程的問題,現今的DSLR大多都採用APS-C片幅而APS-C就是一般最常見的規格,焦段放大倍率都放大1.3~1.72左右而在APS-C跟FS機(Full Size)之間還有一個APS-H的存在。

由於使用數位單眼相機拍攝顯微照片只能使用相機的機身,就是說只能用全手動控制相機拍攝照片,所以需要拍攝者,需花一段時間摸索拍圖方法,在這裡我們只是能簡單地提出幾個參數供大家參考: 在拍攝時,最好選擇相機可以在電腦上同步預覽控制的(如CANON),這樣可以方便、準確地調節圖像的清晰度、色彩、白平衡等.........;其次要注意控制相機的速度以最大限度地減小由於快門動作的震動照成的相片抖動;最後就是要根據圖片的情況選擇適當的ISO、白平衡、相片色彩,便可拍出接近與實際樣品最相近的照片。

Olympus BioScapes 2006 Honorable Mentions - HeLa Cells


Olympus BioScapes 2006 Honorable Mentions

Mr. Thomas Deerinck
University of California, San Diego
La Jolla, CA, USA
Specimen: HeLa Cells
Technique: 2-Photon Fluorescence

這張照片是由來自 University of California, San Diego La Jolla, CA, USA(Mr. Thomas Deerinck)拍攝的。照片中是海拉細胞(英語:Hela Cells,有時音譯為海樂細胞,亦稱實驗用增殖表皮癌細胞)。利用雙光路螢光顯微鏡所拍攝。

Olympus BioScapes 2006 Honorable Mentions - Human Fingertip


Olympus BioScapes 2006 Honorable Mentions

Mr. Jason Devlin
University of Pittsburgh
Pittsburgh, PA, USA
Specimen: Human Fingertip
Technique: Confocal

這張照片是由來自 University of Pittsburgh Pittsburgh, PA, USA(Mr. Jason Devlin)拍攝的。照片中是人類的指尖細胞。利用共軛焦顯微鏡所拍攝。

Olympus BioScapes 2006 Honorable Mentions - Mist Flower


Olympus BioScapes 2006 Honorable Mentions

Mr. Stefan Eberhard
Complex Carbohydrate Research Center, The University of Georgia
Athens, GA, USA
Specimen:Mist Flower
Technique:Darkfield

這張照片是由來自 Complex Carbohydrate Research Center, The University of Georgia Athens, GA, USA(Mr. Stefan Eberhard)拍攝的。照片中是煙霧花澤蘭。利用暗視野顯微鏡所拍攝。

Shuttle & Find for Life Sciences - Bridging the Micro and Nano Worlds


Carl Zeiss 新近推出一個獨特的硬體/ 軟體接口,銜接光學顯微鏡和掃描電子顯微鏡進行生物科學研究。這個 “Shuttle & Find” 接口使用戶能把光學顯微鏡下看到的感興趣區域記住,出現在掃描電子顯微鏡鏡下,反之亦然。整個過程只需幾秒鐘。這打開了顯微鏡的新思維,快速而準確的疊加光學和電子顯微鏡影像,整合功能和結構信息。

Shuttle & Find 的關鍵零件:
一個可移動的樣品夾,可以確保樣品在光學和電鏡上的流暢移動
一個軟體模塊,能提供光學顯微鏡和電子顯微鏡所需的辨認和記憶感興趣區域功能

Carl Zeiss MicroImaging GmbH 的 CEO Dr. Ulrich Simon說:“ 在為材料分析成功發布Shuttle & Find之後,我們接著為生命科學的科學家提供相應產品。做為世界唯一能提供高品質光學顯微鏡和電子顯微鏡的廠家,Carl Zeiss 為微米和納米世界架起獨特的橋樑。”

應用背景
生命科學研究中,結構和功能的研究逐漸成為感興趣的焦點。螢光顯微鏡成像和掃描電子顯微鏡成像的相關實驗開闢了新可能。

蘇黎世瑞士聯邦理工學院EMEZ電鏡中心的主任Dr. Roger Wepf是開發接口的人員之一,他說:“ 真的非常有用,有了Shuttle & Find就不會耗費大量時間尋找光學顯微鏡和電子顯微鏡下的同一區域。儘管樣品製備還存在問題,關聯顯微鏡現在真的可以用了。”

Shuttle & Find可以連接Carl Zeiss的所有光學顯微鏡(SteREO Discovery、Axio Scope、Axio Imager、Axio Examiner、Axio Observer,需配有電動載物台)和所有掃描顯微鏡(EVO、SIGMA、SUPRA、ULTRA、MERLIN)以及CrossBeam (FIB-SEM) AURIGA。

原廠網址:http://microscopy.zeiss.com/microscopy/en_de/products/correlative-microscopy/shuttle-find-life-sciences.html#inpagetabs-0

2013年1月28日 星期一

美麗抽象之中的顯微攝影 - 酒畫 Cranberry Juice 蔓越莓果汁

Cranberry Juice 蔓越莓果汁

你能想像你所喝的酒是如此美麗抽像。
偏光顯微鏡用在何處,大多數人一定會回答:觀察地質的岩石玻片上及寶石的檢驗或是部份工業材料居多。
今天要介紹美國一間 BevShots 的公司,這間公司會出現是因為一位在 Florida State University lab 科學家,在他25年職業生涯中,致力於長期研究 DNA, vitamins 等.....研究,忽然所出現的一個想法,拍攝酒,夠妙吧!
他於是找了一間企業合作,成立了 BevShots,利用每一幅顯微拍攝的酒類照片來製造產品,如領帶、畫作、杯墊等....生活中的藝術品。我們就先來觀賞作品吧!

BevShots 公司網址:http://bevshots.com/






如何選擇你所需求的共軛焦顯微鏡


共軛焦顯微鏡比寬場顯微鏡具有更多的優勢,共軛焦顯微鏡可以對樣品做連續光學切片並排除非焦平面的信號干擾,為此共軛焦顯微鏡的應用也的確更為普遍。不過市面上各種各樣的共軛焦顯微鏡越來越多,要如何進行選擇呢?
在選擇共軛焦顯微鏡時,最基本也最重要的考慮因素主要有兩點:
您想要研究的樣本類型(如:固定的細胞還是活細胞),以及您想要進行的檢測類型(如:靜態還是動態細胞過程)。固定細胞的共軛焦成像要對固定且染色了的細胞或組織成像,我們一般選擇雷射掃描共軛焦(LSCM)。
這主要是因為固定的死細胞缺乏活細胞中的快速生物學事件,能更好的受益於LSCM較高的空間分辨率。LSCM成像是通過雷射對樣品進行光學層切,掃描速度(取決於掃描陣鏡速度)一般為1fps。曝光時間越長意味著光漂白的風險越大,但對於固定的死細胞,時間並不是很關鍵,我們可以通過拍多張圖片來平均。
活細胞的共軛焦成像成像活細胞需要額外的保護,以免不友好環境的干擾。在成像時,我們首先需要考慮的是保持細胞的活性和健康,恆溫加熱元件和灌流系統是必不可少的,尤其對於進行time-lapse(時間序列)的研究來說。控制活細胞生理狀態的快速生化事件是大多數人最想要研究的,但這些事件對於傳統LSCM來說太快了。此外,LSCM的長時間曝光還會引發毒性光照損傷細胞。
因此,對活細胞進行成像會需要特殊的共軛焦顯微鏡。對活細胞進行共軛焦成像一般有兩個選擇:快速掃描的雷射掃描共軛焦和轉盤共軛焦。
快速掃描共軛焦顯微鏡用較快的共振掃描陣鏡(resonant scanning mirrors)取代較慢的galvanometers mirrors,能使掃描速度達到30fps;而轉盤共軛焦(SDCMs)的優勢在於掃描速度更快(雖然不可避免的要損失空間分辨率),其速度理論上可達到2000fps(實際上往往受到其他因素的限制)。如果您擔心光漂白或者很弱的螢光信號,那麼SDCM可能更加適合。SDCM採用兩個帶有陣列微孔的轉盤轉動來分散激發光 ​​,不同於LSCM對樣品進行點掃描,SDCM一次採集多個點(大約100個像素點),因而速度大大增加,並且SDCM的光漂白及光毒性更小。
不過,您也可以採用快速掃描共軛焦來提高掃描速度,配合高靈敏檢測器,降低激發光 ​​能量來減少光毒性,這樣能夠保證傳統共軛焦的豐富功能。自動化共軛焦成像系統一些研究者喜歡想方設法對顯微鏡進行改造,以適應自己的個性化需求。而有些研究者則對顯微鏡到底是如何工作的根本不敢興趣。對於後者而言,一台自動化的共軛焦顯微鏡可能更合他們胃口。


舉例來說,Olympus FluoView FV10i就是這樣一台全自動桌面型4雷射共軛焦顯微鏡,其緊湊的整合結構對安裝空間基本沒有要求。這類儀器非常適合那些需要每天做很多影像數據收集的研究者,當然它們並不能完全體現傳統共軛焦的功能及靈活擴展性。


此外,Nikon A1也是一套全自動共軛焦系統。與大多數傳統共軛焦掃描顯微鏡一樣,Nikon A1採用galvanometer掃描頭,其分辨率比採用混合式掃描頭的A1R高,但速度稍遜(A1R約30fps)。增加對各種共軛焦顯微鏡類型的了解,可以幫您找到最適用的儀器。如今,即使不考慮全自動系統,不論您選擇什麼機型,大多數係統都內置有豐富的人性化功能,可以使您收益匪淺。

現在,共軛焦顯微鏡正不斷向更快速、更靈敏、更高分辨率及更好的可擴展性發展,不斷有新技術誕生。速度方面,有共振快速掃描頭及轉盤共軛焦;靈敏度方面有AOBS分光系統及更靈敏的檢測器(HyD,GaAsp PMT);分辨率方面有超高分辨率(SIM,STED, PALM,STORM);此外還有多光子、白激光、SMD等技術。我們在選擇共軛焦系統時最好能多聽聽各廠家的介紹,以便對這些技術有所了解,根據自己可能進行的研究選擇最合適的儀器。

2013年1月25日 星期五

實驗室的安全評估調查 - 到底安全還是不安全


一項國際調查投射出實驗室研究人員對工作環境的態度。
 圖片來源:ARNO BURGI/DPA/PRESS ASSOCIATION


調查問卷中的一些問題。
圖片來源:CENTER FOR LABORATORY SAFETY, UCLA/NPG/BONAMY FINCH


近期,第一個關於科研人員對工作環境的態度及其實際情況的國際調查顯示,科學家對實​​驗室的環境安全狀況有錯誤的認識。

在約2400名參與調查的科學家中,有86%的人表示相信實驗室是安全的。但實際上,將近一半的人都在實驗室受到過傷害,例如動物咬傷、吸入化學藥劑等;還有很多科學家指出,由於他們經常獨自工作,因此即便受到過傷害也沒有報告給上級,並缺乏應對具體傷害的安全培訓。

“認識到這一差異,是積極改變實驗室安全環境的關鍵。”美國加利福尼亞大學洛杉磯分校(U​​CLA)環境健康與安全研究的負責人James Gibson說。2011年3月,加利福尼亞大學首次成立了實驗室安全中心,將該問題研究作為以美國為首的安全環境研究的一部分。這一進展緣於2008年,該校一位23歲的研究助理Sheharbano Sangji在實驗室大火中被嚴重燒傷並死亡。她的導師、有機化學家Patrick Harran,可能因為她的死亡面臨刑事審判。2011年耶魯大學也曾發生過類似的實驗室傷害致死事件。

美國國家科學院化學科技委員會負責人Dorothy Zolandz說,這項調查“是我見過的最全面地調查科學家對實​​驗室安全態度的嘗試——它和其他相關報告共同指出,我們科研實驗室的安全環境亟待改善”。《自然》雜誌所屬的自然出版集團和提供安全軟件的BioRAFT公司都參與協助了這項調查。UCLA的實驗室安全中心計劃在今年進一步分析調查數據。

真安全,假安全?

一些匿名的調查參與者——大部分來自美國和英國,小部分來自於歐洲、中國和日本——認為他們受到的傷害只是工作的一部分。“我曾被一隻猴子抓傷。”一位科學家寫道,“不管你多小心,在工作中類似的傷害都會發生。”另一位科學家在提取響尾蛇毒液時曾被咬傷;還有一位科學家的臉和手上被潑到硫酸,皮膚治療花費了3000美元。輕微的傷害是最常見的——割傷、裂傷和刺傷,但是30%的回應者表示曾目睹過至少一次實驗室的“重大”事故,一般需要專業的醫療處理。超過1/4的初級研究者表示他們在經歷實驗室傷害後並沒有告訴導師。

儘管如此,絕大多數回應者都宣稱他們的實驗室是安全的,並受到過足夠的安全培訓,以使實驗室傷害最小化並採取合適的安全措施來保護實驗室工作人員。美國化學會(在此問題上進行過獨立調查)健康與安全領域秘書長Ralph Stuart表示,在其他規模較小的調查中,科學家們同樣持這種態度。

但是調查中更具體的問題表明,安全標準並不到位。只有60%的調查參與者回答他們曾受到過應對具體危險的安全訓練。差不多一半的參與者認為實驗室安全狀況有改善的空間,其中化學家(60%)更容易有這種感受,神經系統科學家(30%)反應則較為平淡。

老少科學家看法不一

這項調查中,最大的分歧之一是初級科學家(如博士後和博士研究生等)和高級科學家(如教授、系主任和研究負責人等)對安全環境的態度。大約40%的初級科學家表示,他們每天在實驗室裡獨自工作,這樣對健康有害且會增加發生事故的可能性——相比之下,只有26%的高級科學家有這種看法。這表明,導師們對自己團隊的安全環境並不十分了解。

總體上,大約2/3的研究者表示,他們每週都會有幾次獨自在實驗室工作的情況。只有12%的年輕科學家認為安全是“實驗室事項中最重要的”,36%的年紀較大的科學家有這種看法。

年輕科學家對安全措施可能有更清晰的看法,因為他們比導師工作的時間更長。一半多的初級科學家每週工作超過40小時,只有1/5的高級科學家會工作同樣長的時間。

調查結果拋出更多問題

儘管健康和安全專家對此並不感到吃驚,但這項調查的另一個發現是美國和英國科學家在實驗前進行風險評估的差異——這在一定程度上歸因於法律要求的不同。將近2/3的英國科學家表示他們使用上級機構批准的表格(由英國健康安全局強制規定)來進行風險評估——相比之下,美國祇有1/4的科學家會這樣做。超過一半的美國科學家表示他們會“非正式地”進行風險評估。

科學家說,改善實驗室安全環境的最大障礙是“時間問題”和“漠不關心的態度”。這都是由於他們對安全規定缺少了解,以及缺乏關注安全的帶頭人。“有安全規定不代表真的安全。實驗室擁有很多研究成果不代表這是個安全的實驗室,很可能反而更不安全。”一位科學家這樣寫道。

一些健康和安全領域的專家認為,這項調查——包含100個問題——過於寬泛和失焦,很難得出明確的結論。他們也認為非隨機的取樣調查並不合理:該調查向註冊過nature.com的科學家發送電子郵件,並鼓勵他們向認識的其他科學家傳遞問卷。

“這項調查得出了結論,也帶來了更多問題。不過這種感知調查確實應該提出很多問題。”麻省理工學院健康和安全領域專家Lou Diberardinis說。Diberardinis的團隊曾作為2012年實驗室安全中心種子基金資助的4個隊伍之一研究安全問題。

Zolandz表示,今年,美國國家科學院化學科技委員會將同行為學家一起,為科學家製定如何建立安全實驗環境的行為規定。

《自然》雜誌相關報導(英文)



2013年1月24日 星期四

顯微鏡下的“吸血鬼”

人類雖然居於食物鏈的頂層,但千萬不要忽略了,還有一些身形上比我們小很多的生物,它們在以我們的血液為食。讓我們藉助顯微鏡的強大功能,來一睹這些“吸血鬼”動物們的真面目吧。


這是遍及全球的獵蝽,它能夠對獵物進行疼痛地蜇咬,具有溶解唾液,當注入小型昆蟲身體時,能夠溶解它們的身體組織,之後再將這些昆蟲完全吞食。


這是歐洲沙蚤,它們的體長可達到1.5厘米,生活在全球各地的沙灘上。


這是一隻蟹蝨,通常它們寄生在人類的陰毛中,有時也寄生在睫毛中。


這是可以攜帶登革熱病毒和西尼羅河病毒的亞洲虎蚊。


這張彩色顯微圖片是吸滿血液的普通羊蜱蠅,當它們吸食了哺乳動物寄居體的血液後,會腫脹自己的身體。


兩隻寄生在床上的蟎蟲正在交配,人類枕頭三分之一的重量是由蟎蟲、脫落皮膚、塵蟎和它們的糞便構成。


圖為寄生在普通伏翼蝙蝠身體上的跳蚤。

2013年1月23日 星期三

Nikon Small Word Image of Distinction, 2008 Images of Distinction - Three day zebrafish brain


IMAGE OF DISTINCTION
2008 PHOTOMICROGRAPHY COMPETITION

Michael Hendricks
National University of Singapore
Temasek Life Sciences Laboratory
Kent Ridge, Singapore

Subject Matter:Three day zebrafish brain (20x)
Technique:Confocal

這張照片是由來自 National University of Singapore Temasek Life Sciences Laboratory Kent Ridge, Singapore(Michael Hendricks)拍攝的。照片中是已成型三天的斑馬魚腦部。利用共軛焦顯微鏡放大了 20x 所拍攝。

Nikon Small Word Image of Distinction, 2008 Images of Distinction - Single-spore inoculation of the microfungus, Aspergillus niger on malt extract agar


IMAGE OF DISTINCTION
2008 PHOTOMICROGRAPHY COMPETITION

Dr. Jose Herrera
Truman State University
Kirksville, Missouri, USA

Subject Matter:Single-spore inoculation of the microfungus, Aspergillus niger on malt extract agar

這張照片是由來自 Truman State University Kirksville, Missouri, USA(Dr. Jose Herrera)拍攝的。照片中是利用麥芽知所養殖出的黑霉菌。

Nikon Small Word Image of Distinction, 2008 Images of Distinction - Pig heart cells, grown to confluency


IMAGE OF DISTINCTION
2008 PHOTOMICROGRAPHY COMPETITION

Dr. Kerstin Honer zu Bentrup
Tulane University
School of Medicine
New Orleans, Louisiana, USA

Subject Matter:Pig heart cells, grown to confluency (100x)
Technique:Fluorescence

這張照片是由來自 Tulane University School of Medicine New Orleans, Louisiana, USA(Dr. Kerstin Honer zu Bentrup)拍攝的。照片中是豬的心臟細胞。利用螢光顯微鏡放大了 100x 所拍攝。

電子顯微鏡基本概念

電子顯微鏡是根據電子光學原理,用電子束和電子透鏡代替光束和光學透鏡,使物質的細微結構在非常高的放大倍數下成像的儀器。
電子顯微鏡的分辨能力以它所能分辨的相鄰兩點的最小間距來表示。20世紀70年代,透射式電子顯微鏡的分辨率約為0.3奈米(人眼的分辨本領約為0.1毫米)。現在電子顯微鏡最大放大倍率超過300萬倍,而光學顯微鏡的最大放大倍率約為2000倍,所以通過電子顯微鏡就能直接觀察到某些重金屬的原子和晶體中排列整齊的原子點陣。
1931年,德國的克諾爾和魯斯卡,用冷陰極放電電子源和三個電子透鏡改裝了一台高壓示波器,並獲得了放大十幾倍的影像,證實了電子顯微鏡放大成像的可能性。1932年,經過魯斯卡的改進,電子顯微鏡的分辨能力達到了50奈米,約為當時光學顯微鏡分辨本領的十倍,於是電子顯微鏡開始受到人們的重視。
到了二十世紀40年代,美國的希爾用消像散器補償電子透鏡的旋轉不對稱性,使電子顯微鏡的分辨本領有了新的突破,逐步達到了現代水平。在中國,1958年研製成功透射式電子顯微鏡,其分辨本領為3奈米,1979年又製成分辨本領為0.3奈米的大型電子顯微鏡。
電子顯微鏡的分辨本領雖已遠勝於光學顯微鏡,但電子顯微鏡因需在真空條件下工作,所以很難觀察活的生物,而且電子束的照射也會使生物樣品受到輻照損傷。其他的問題,如電子槍亮度和電子透鏡質量的提高等問題也有待繼續研究。
分辨能力是電子顯微鏡的重要指標,它與透過樣品的電子束入射錐角和波長有關。可見光的波長約為300~700奈米,而電子束的波長與加速電壓有關。當加速電壓為50~100千伏時,電子束波長約為0.0053~0.0037奈米。由於電子束的波長遠遠小於可見光的波長,所以即使電子束的錐角僅為光學顯微鏡的1%,電子顯微鏡的分辨本領仍遠遠優於光學顯微鏡。
電子顯微鏡由鏡筒、真空系統和電源櫃三部分組成。鏡筒主要有電子槍、電子透鏡、樣品架、螢光屏和照相機構等部件,這些部件通常是自上而下地裝配成一個柱體;真空系統由機械真空泵、擴散泵和真空閥門等構成,並通過抽氣管道與鏡筒相聯接;電源櫃由高壓發生器、勵磁電流穩流器和各種調節控制單元組成。
電子透鏡是電子顯微鏡鏡筒中最重要的部件,它用一個對稱於鏡筒軸線的空間電場或磁場使電子軌跡向軸線彎曲形成聚焦,其作用與玻璃凸透鏡使光束聚焦的作用相似,所以稱為電子透鏡。現代電子顯微鏡大多采用電磁透鏡,由很穩定的直流勵磁電流通過帶極靴的線圈產生的強磁場使電子聚焦。
電子槍是由鎢絲熱陰極、柵極和陰極構成的部件。它能發射並形成速度均勻的電子束,所以加速電壓的穩定度要求不低於萬分之一。
電子顯微鏡按結構和用途可分為 透射式電子顯微鏡、掃描式電子顯微鏡、反射式電子顯微鏡和發射式電子顯微鏡等。
透射式電子顯微鏡常用於觀察那些用普通顯微鏡所不能分辨的細微物質結構;掃描式電子顯微鏡主要用於觀察固體表面的形貌,也能與X射線衍射儀或電子能譜儀相結合,構成電子微探針,用於物質成分分析;發射式電子顯微鏡用於自發射電子表面的研究。
投射式電子顯微鏡因電子束穿透樣品後,再用電子透鏡成像放大而得名。它的光路與光學顯微鏡相仿。在這種電子顯微鏡中,影像細節的對比度是由樣品的原子對電子束的散射形成的。樣品較薄或密度較低的部分,電子束散射較少,這樣就有較多的電子通過物鏡光欄,參與成像,在影像中顯得較亮。反之,樣品中較厚或較密的部分,在影像中則顯得較暗。如果樣品太厚或過密,則像的對比度就會惡化,甚至會因吸收電子束的能量而被損傷或破壞。

Sony NY-NEX-5R デジタルカメラシステム Digital Cameras Microscopy 顯微鏡攝影鏡組





隨著數位單眼相機的價格的降低,在顯微鏡攝影中逐漸使用數位單眼相機已漸漸成為趨勢。隨之而生了許多生產顯微鏡和數位相機“接口”的廠家和公司。這裡我之所以說是“接口”,其實就是一個空筒或顯微鏡專用鏡頭在加上相機卡口。
能用嗎?答案是能用。就像用顯微鏡專用相機一樣,不需搭配鏡頭接個 1X 的 C-MUNT 也可使用。單眼相機接空筒也是同樣道理。但結果是相反的。顯微鏡專用相機所觀察的影像,往往小於目鏡所看到的影像,而單眼相機是影像面積大於觀察面積了,原因是單眼相機的COMS面積大於視場觀察面積。

這樣會造成什麼結果呢:
1,空筒的光線透光率低,損耗量大。使得攝影區域的亮度明顯低於觀察區域,在拍攝低感光照片時無法正常拍攝(如螢光拍攝)。
2,由於採用了空筒,相機拍攝的畫面完全取決於顯微鏡攝影通道的通光口徑。使得攝影口的口徑大於目鏡,這樣勢必會拍攝到目鏡視場以外的圖像,造成攝影畫面超出目鏡觀察面積並在低倍採集時(4X,10X顯微鏡物鏡)出現黑邊或暗角。
根據我們從事顯微鏡生產製造多年的經驗,建議大家在使用單眼數位相機時,盡量採用和相機成像面匹配的鏡頭,這樣能取得適合的照片。
當然,這個“數位相機攝影鏡頭”也是有要求的。除了要成像清晰,消色差、消相差這些最基本的要求外,是否和相機的COMS匹配也是一個不可少的條件。
APS-C、APS-H、FS的差別在哪?感光元件大小跟倍率有什麼關聯?現在由於成本與製程的問題,現今的DSLR大多都採用APS-C片幅而APS-C就是一般最常見的規格,焦段放大倍率都放大1.3~1.72左右而在APS-C跟FS機(Full Size)之間還有一個APS-H的存在。

由於使用數位單眼相機拍攝顯微照片只能使用相機的機身,就是說只能用全手動控制相機拍攝照片,所以需要拍攝者,需花一段時間摸索拍圖方法,在這裡我們只是能簡單地提出幾個參數供大家參考: 在拍攝時,最好選擇相機可以在電腦上同步預覽控制的(如CANON),這樣可以方便、準確地調節圖像的清晰度、色彩、白平衡等.........;其次要注意控制相機的速度以最大限度地減小由於快門動作的震動照成的相片抖動;最後就是要根據圖片的情況選擇適當的ISO、白平衡、相片色彩,便可拍出接近與實際樣品最相近的照片。

Butterfly eggs ( MiKLO 單眼相機顯微鏡 )


小編這一陣子認識了很多玩攝影的朋友,也是一般攝影玩到不知玩啥而跑來問小編如何玩顯微攝影的,然後開始教他們玩顯微攝影,大多是年紀相當大有身份地位的人,每次打電話來詢問我這小毛頭,都是用敬語的方是稱呼我,害我都不知道該怎麼回應,我都覺得我快折壽了,但是他們真的很厲害,越拍越強,我看在不用多久他們應該會比我強很多。


2013年1月18日 星期五

Nikon NY-D5200 デジタルカメラシステム Digital Cameras Microscopy 顯微鏡攝影鏡組




隨著數位單眼相機的價格的降低,在顯微鏡攝影中逐漸使用數位單眼相機已漸漸成為趨勢。隨之而生了許多生產顯微鏡和數位相機“接口”的廠家和公司。這裡我之所以說是“接口”,其實就是一個空筒或顯微鏡專用鏡頭在加上相機卡口。
能用嗎?答案是能用。就像用顯微鏡專用相機一樣,不需搭配鏡頭接個 1X 的 C-MUNT 也可使用。單眼相機接空筒也是同樣道理。但結果是相反的。顯微鏡專用相機所觀察的影像,往往小於目鏡所看到的影像,而單眼相機是影像面積大於觀察面積了,原因是單眼相機的COMS面積大於視場觀察面積。

這樣會造成什麼結果呢:
1,空筒的光線透光率低,損耗量大。使得攝影區域的亮度明顯低於觀察區域,在拍攝低感光照片時無法正常拍攝(如螢光拍攝)。
2,由於採用了空筒,相機拍攝的畫面完全取決於顯微鏡攝影通道的通光口徑。使得攝影口的口徑大於目鏡,這樣勢必會拍攝到目鏡視場以外的圖像,造成攝影畫面超出目鏡觀察面積並在低倍採集時(4X,10X顯微鏡物鏡)出現黑邊或暗角。
根據我們從事顯微鏡生產製造多年的經驗,建議大家在使用單眼數位相機時,盡量採用和相機成像面匹配的鏡頭,這樣能取得適合的照片。
當然,這個“數位相機攝影鏡頭”也是有要求的。除了要成像清晰,消色差、消相差這些最基本的要求外,是否和相機的COMS匹配也是一個不可少的條件。
APS-C、APS-H、FS的差別在哪?感光元件大小跟倍率有什麼關聯?現在由於成本與製程的問題,現今的DSLR大多都採用APS-C片幅而APS-C就是一般最常見的規格,焦段放大倍率都放大1.3~1.72左右而在APS-C跟FS機(Full Size)之間還有一個APS-H的存在。

由於使用數位單眼相機拍攝顯微照片只能使用相機的機身,就是說只能用全手動控制相機拍攝照片,所以需要拍攝者,需花一段時間摸索拍圖方法,在這裡我們只是能簡單地提出幾個參數供大家參考: 在拍攝時,最好選擇相機可以在電腦上同步預覽控制的(如CANON),這樣可以方便、準確地調節圖像的清晰度、色彩、白平衡等.........;其次要注意控制相機的速度以最大限度地減小由於快門動作的震動照成的相片抖動;最後就是要根據圖片的情況選擇適當的ISO、白平衡、相片色彩,便可拍出接近與實際樣品最相近的照片。

2013年1月17日 星期四

Media Cyber​​netics DAB Analysis App for Image-Pro Premier Software Streamlines Pathology and IHC Research


Media Cybernetics 最新發佈為 Image-Pro Premier 影像分析軟體設計的新 DAB  Analysis App,DAB Analysis App讓病理學家、IHC(免疫組化)研究者在數位影像中能自動定義和分析 DAB 標記的組織。新的 App 被設計的目的是為了節省研究時間,使用者不再需要手動辨認標記組織。App 的自動化和可重複性也能確保結果多個組織和样本和影像能得到一致的結果。
現在輕輕一點滑鼠,研究者就能確定 DAB 標記的組織,測量染色面積的總光密度,輸出做標註的影像,將分析數據導到 Excel 中。這一過程原先需要很多步,現在只需輕輕一按。
“ Image-Pro 軟體已經用於病理、IHC 分析多年,這個新的 DAB Analysis App 進一步簡化了已經比較友好的 Image-Pro 軟體,使它超快而容易的定量研究者影像。” Media Cybernetics 的產品經理 Kathy Hrach 說。.
對於 Image-Pro Premier 的用戶,DAB Analysis App 是免費的,可以從網站下載並安裝,研究者也可下載一個14天免費版,利用他們的影像檢測一下這個App。

原廠影片:http://fast.wistia.com/embed/iframe/xg0hgf4fim?autoPlay=true&controlsVisibleOnLoad=true&popover=true&version=v1&videoHeight=360&videoWidth=640&volumeControl=true

原廠網址:http://www.mediacy.com/index.aspx?page=PR_Premier_DAB_App

CorrSight™ - For Optimizing CLEM Experiments


FEI 為光學和電子顯微鏡(CLEM)發布一套解決方案 ,來自 FEI 的這套 CLEM 在幾分鐘內從不同成像技術中自動存取數據,給細胞生物學家需要的精確信息。科學家相信從細胞到分子水平的相關信息都將會導致巨大的發現出現,如提高對諸如癌症、AIDS、帕金森等疾病的了解及治療。
電子顯微鏡能比光學顯微鏡提供更高的影像分辨率,約是其1000倍或更多。光學顯微鏡可以提供各種各樣的技術,如螢光標記,該技術可以在大的複雜環境如一個細胞內辨識單個分子或結構。兩個技術間的相關性讓科學家可以用光學顯微鏡發現目標,再用電子顯微鏡探究其形式及功能。相關顯微鏡讓研究者能以更快的速度在電鏡下發現目標物的特徵,得到其結構亞分子級的更多信息、理解大的複雜結構與特徵間的關係。
“光學顯微鏡包含了各種技術與方法,對於相關每個技術都有不同要求,單一工作流不能滿足所有要求,我們開發了一系列工作流,它們足夠靈活能覆蓋大部分應用,隨著科學的發展我們將致力於擴大覆蓋面。” FE I生命科學部門的總經理級副總裁說。

FEI 提供的相關顯微鏡解決方案包括:
Tecani 和 iCorr-全整合的工作流,光學顯微鏡整合進透射電子顯微鏡的柱中。
CorrSight 是一個先進的光學顯微鏡,專用於相關實驗的不同步驟,確保研究者能進行活細胞動態成像以及為電子顯微鏡快速的固定這些細胞。MAPS 是一個軟體,它允許電子顯微鏡影像和經過簡單的調整後其他來源的影像可以相關觀察。

俄勒岡健康科學大學的 Joe Gray 教授說:“科學家想要了解我們在細胞和組織中看到的那些構成大分子過程的分子活動和相互作用。這些需要整合來自多個分辨率級別的信息,例如,在特定微環境下的細胞的超微結構分析。iCorr 系統讓我們能用螢光顯微鏡快速螢光染色感興趣細胞,隨後再用電子顯微鏡觀察分子結構的細節。”
蘇黎世聯邦理工學院的電鏡主管 Roger Wepf 補充說:“利用 CorrSight,電子顯微鏡的樣品製備可以和光學顯微鏡相整合。我們在 CorrSigh t光學顯微鏡平台上找到目標結構,接著將樣本轉到電子顯微鏡上,點幾下滑鼠直接定位目標。這恰是我們以前所沒有的,它減少了手動、乏味的工作,提高了可重複率。CrorrSight 和 MAPS 將打開新的應用,以前這是不可能的事。”
Hubert 補充說:“在這點上,我們僅僅對相關顯微鏡的潛力有所了解。它將會為生物系統的結構和功能之間的相互作用打開新的研究途徑。FEI 通過開發相關工作流致力於擴大這一應用的空間。 ”

原廠網址:http://www.fei.com/applications/life-sciences/correlative-microscopy-solutions/corrsight.aspx

2013年1月16日 星期三

Olympus BioScapes 2006 Honorable Mentions Tobacco Seed Pod


Olympus BioScapes 2006 Honorable Mentions

Mr. Stefan Eberhard
Complex Carbohydrate Research Center, The University of Georgia
Athens, GA, USA
Specimen:Tobacco Seed Pod
Technique:Darkfield

這張照片是由來自 Complex Carbohydrate Research Center, The University of Georgia Athens, GA, USA(Mr. Stefan Eberhard)拍攝的。照片中是煙草的種子莢剖面。利用解剖顯微鏡所拍攝。

Olympus BioScapes 2006 Honorable Mentions Grasshopper Egg Chamber


Olympus BioScapes 2006 Honorable Mentions

Dr. Kevin Edwards
Department of Biological Sciences, Illinois State University
Normal, IL, USA
Specimen:Grasshopper Egg Chamber
Technique:Confocal

這張照片是由來自 Department of Biological Sciences, Illinois State University Normal, IL, USA(Dr. Kevin Edwards)拍攝的。照片中是蚱蜢的卵囊細胞。利用共軛焦顯微鏡所拍攝。

Olympus BioScapes 2006 Honorable Mentions Arabidopsis Epidermis


Olympus BioScapes 2006 Honorable Mentions

Dr. Ying Fu
Department of Botany and Plant Sciences, University of California at Riverside
Riverside, CA, USA
Specimen:Arabidopsis Epidermis
Technique:Confocal

這張照片是由來自 Department of Botany and Plant Sciences, University of California at Riverside Riverside, CA, USA(Dr. Ying Fu)拍攝的。照片中是擬南芥表皮細胞。利用共軛焦顯微鏡所拍攝。

2013年1月15日 星期二

有關金相顯微鏡問題



金相即金相學,就是研究金屬或合金內部結構的科學。它還研究當外界條件或內在因素改變時,對金屬或合金內部結構的影響。所謂外部條件就是指溫度、加工變形、澆注情況等。所謂內在因素主要指金屬或合金的化學成分。金相組織是反映金屬金相的具體形態,如馬氏體,奧氏體,鐵素體,珠光體等等。

在製作金相試樣過程中,拋光是一道主要工序,經過磨光的試樣,在拋光機上拋光後可獲得光亮如鏡的表面,能改善表面層金相組織狀態,提高表面顯微硬度,形成耐磨損、抗疲勞的緻密金屬層。

廣泛應用於寶石、玻璃、陶瓷、硬質合金及淬火鋼材的高光亮度研磨拋光,經研磨拋光後的試樣更真實地顯示其金相組織。

什麼是金相式樣切割機?
金相式樣切割機是用於切割一般金相、岩相試樣材料,機內設有冷卻通道及開關在切割時可通過配置好的冷卻液來帶走在切割種所產生的熱量,避免試樣過熱而燒傷組織。

1、採用無窮遠成像系統,新設計的平場消色差物鏡和大視場目鏡,成像清晰平坦,視域開闊,具有優良的組織鑑別力。偏光裝置:內置式起偏和檢偏系統。

2、使用者一邊觀察一邊可以同時進行成像記錄。CCD接口能夠連接攝影裝置,數位相機拍攝或顯微鏡監視系統下進行定量的影像分析工作。

3、造型新穎,結構穩固,功能全部裝置在顯微鏡主機內,確保使用者快速操作,並能獲得一致的成像效果。

選擇金相注意一下幾點 1、物鏡要好 2、光路系統要好 3、機械穩定性要高多請教一下顯微鏡的使用廠家,貨比三家
金相切割機、金相砂帶機、金相磨平機、鑲嵌機、金相磨拋機(也可以用金相沙紙)金相腐蝕劑金相顯微鏡是用來觀測的。

2013年1月10日 星期四

Olympus BioScapes 2006 Honorable Mentions Dog Flea


Olympus BioScapes 2006 Honorable Mentions

Mr. Ralph Grimm
Jimboomaba, Australia
Specimen:Dog Flea
Technique:Darkfield

這張照片是由來自 Jimboomaba, Australia(Mr. Ralph Grimm)拍攝的。照片中是狗蚤就是所謂的跳蚤。利用解剖顯微鏡所拍攝。

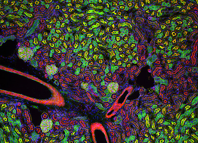
Olympus BioScapes 2006 Honorable Mentions Mouse Kidney


Olympus BioScapes 2006 Honorable Mentions

Mr. Gilles Grondin
Faculté des Sciences, Département de Biologie, Université de Sherbrooke
Quebec, Canada
Specimen:Mouse Kidney
Technique:Epi-fluorescence

這張照片是由來自 Faculté des Sciences, Département de Biologie, Université de Sherbrooke Quebec, Canada(Mr. Gilles Grondin)拍攝的。照片中是老鼠腎臟細胞。利用螢光顯微鏡所拍攝。

2013年1月9日 星期三

Smallist Heart In Nature! Amazing Microscopic HD Video! Euglena Viridis ...


眼蟲藻(學名:Euglena)是生物裡的一個屬,屬於裸藻綱。其名字的來源是因為它們有眼斑,它與趨光性有關。

眼蟲為長梭形或圓柱形而帶扁平的單細胞藻體,由前端小凹陷生出細長鞭毛一條,其運行方式猶如螺旋槳,其推進能使得眼蟲向前運動;鞭毛基部附近有紅色小點能感光,稱眼點;眼蟲沒有細胞壁,有一層富有彈性的表膜,所以身體可以伸縮變形,少數種類表膜很硬,不能變形。
它們主要生活在淡水,也有在濕土表面,在含有有機物較多的水中,生長旺盛時,看上去水成為綠色的一片。這種綠色代表了眼蟲大多數種有葉綠體,可以進行光合作用(自養型生物)。但也有種類的眼蟲是異養型生物,它們靠溶在水中的物質生存。但也有很多種類同時行兩種營養方式。


眼蟲是一種既可定為植物,也可定為動物,它是單細胞生物。它不同的習性,例如攝食,排泄,新陳代謝,生長,繁殖,感受刺激性又使之與眾不同,成為獨立的一門。當眼蟲發育成熟後,它會分裂為兩個新細胞,或者和另一個細胞進行生育。新陳代謝方面它有兩種方式:光合作用或者是攝取周圍的養料。被稱之為兼養型生物,如果沒有光,它就會分解自身存儲的養料或者是攝取周圍的養料度日。光對於眼蟲來說是性命攸關的。它避免與其他物體接觸。它對溫度敏感。感光和運動是眼蟲的主要事務。液泡根據身處環境的溶液濃度的不同,收縮擴大的速度也不同。
其它 眼蟲藻用來改善環境,而且是營養豐富的食品,近年在生物燃料研究和醫療技術方面取得研究進展。2013年1月9日,日本產業技術綜合研究所和NEC等合作研發出利用眼蟲藻合成高分子塑料。眼蟲藻體內含有大量高分子糖類,它和眼蟲藻的油脂或者腰果的油脂發生化學反應,可以生成高分子塑料。與從石油中提煉得到的塑料相比,有點脆,但易加工性和耐熱性基本一樣。

影片來源:Craig Smith

Modified HIV defeats leukaemia


據物理學家組織網報導,美國費城兒童醫院的醫生宣稱,他們從病魔手中成功奪回了一個罹患白血病的7歲女孩的生命,贏得這場胜利多虧了一個可能會讓所有人感到意外的“幫手”——經過基因修改的HIV(人類免疫缺陷病毒)。不過,主治醫生強調,治療過程不會出現感染艾滋病的風險。

這個名叫艾米莉的小女孩接受了近兩年的化療,其間病情兩次復發,醫生們認為她治癒的“希望渺茫”。於是在今年2月,他們開始對她實施這一“以毒攻毒”的實驗性治療方案(官方名稱為CTL019療法)。

醫生們將HIV中引發艾滋病的因素剔除,借助這些經過基因修改的HIV,艾米​​莉自己的免疫細胞佔據了優勢,一舉擊潰了入侵的白血病細胞。艾米莉是參與CTL019療法的為數不多的志願者中唯一的兒童。費城兒童醫院強調,該療法還不能被稱為“神奇的子彈”,但至少在艾米莉身上顯示出了巨大的成功。

在治療過程中,醫生先將艾米莉自己的數百萬免疫系統細胞移除,接著用經過基因修改的HIV將一種能夠增強免疫細胞的新基因送入她體內,這種基因如同導彈一樣,可以幫助免疫細胞“鎖定”潛藏起來的白血病細胞並發動攻擊。

主治醫生、兒科腫瘤學家斯蒂芬·格拉普說,負責運送新基因的HIV中能夠導致艾滋病的部分全都被剔除了,因此治療過程中不會出現任何感染艾滋病的風險。

目前艾米莉已經回到學校繼續學習,還能進行遛狗、踢足球等活動。醫生表示,艾米莉的治療結果是“完滿的”,最重要的是,增強了的免疫防護系統仍然“存留在她體內,以防止癌症復發”。“任何我們能夠做的檢測,即使是最敏感的測試都表明,她身體裡已經沒有白血病症狀了。”格拉普說,“我們還需要觀察幾年看看病情緩解情況,才能考慮她是否已被治愈。目前下斷言還為時尚早。”

格拉普表示,這是他第一次看到治療白血病的標準手段骨髓移植可能有了替代方案,細胞療法有望最終取代昂貴而痛苦的骨髓移植治療。

國外媒體相關報導(英文)

Andor Outstanding Image Quality and Versatility with the new Revolution WD


Andor 科技公司新推出 Revolution WD 多功能活細胞轉盤共軛焦顯微鏡,Revolution 家族的這個新成員是個令人興奮的產品,它的心臟上被安裝了最新的轉盤式掃描單元,來自 Yokogawa 的CSU-W1。
利用 Revolution WD 可以為更大、更厚的樣本成像,兩個轉盤的獨特設計以及擁有更大的視野,使得機器能為更大的放大範圍提供靈活性。
Revolution WD 有著超大的視場,無與倫比的聚焦深度,是較大或較厚樣本的理想選擇。加上新的碟片設計,Revolution WD 可以為從低倍到高倍產生高對比度的影像,同時有著其他產品無法比擬的超大應用範圍,適合各種各樣的樣本和應用領域。因此,它將是神經科學、發育生物學、胚胎學、幹細胞研究、活體成像等的完美選擇。

Revolution XD 是 Andor 推出的另一款高速轉盤共軛焦,其內置了能為活細胞成像提供最高速度和敏感性的 CSU-X,更適用於高速高倍活細胞研究。因此,XD系列更適用於快速成像應用,如追踪、鈣成像、細胞運動等。
與 Revolution XD 相比,RevolutionWD 的突出優勢如下:
1、視場比 CSU-X1 擴大4倍;
2、可選 25um 或者 50um 針孔;以往的 CSU-X1 只能在 60X APO 以上鏡頭時發揮最大效能,而 CSU-W1 能在 30X APO 以上鏡頭發揮最大效能,使用同樣鏡頭時可以得到比 CSU- X1 好得多的共軛焦層切效果;
3、優化了盤上孔間距即孔間材質,使得針孔間串色降低到 CSU-X1 的 1/2~1/3
4、直通型 by-pass 模式,通光效率是 CSU-X1 的 by-pass 模式的10倍,更有利於整合DIC寬場及TIRF成像,切換速度極快。

原廠網址:http://www.andor.com/outstanding-image-quality-and-versatility-with-the-new-revolution-wd-161012